هل وجدتم طفح جلدي عنيد على بشرتكم، ودارت في ذهنكم الأسئلة حول ما إذا كان أحد علامات الإصابة بسرطان الجلد ام لا؟.
إذن قد حان الوقت لنعرف ما هي علامات سرطان الجلد؟ .. وكيف نتعرف على بشرتنا؟.
ما هو سرطان الجلد؟:
طبيا، يعرف سرطان الجلد بأنه: (نمو غير طبيعي لخلايا وأنسجة الجلد).
ففي الحالة الطبيعية، عادة، مع تقدم خلايا الجلد في العمر وموتها، تتشكل خلايا جديدة لتحل محلها.
لكن تحدث المشكلة عندما لا تتم هذه العملية بالطريقة الصحيحة، حينما تنمو الخلايا بسرعة أكبر من الطبيعي بسبب خلل يحدث في حمضها النووي DNA.
ومع أنه في العديد من الحالات، قد تكون هذه الخلايا غير سرطانية أو ما يطلق عليها (حميدة)، ولا تنتشر أو تسبب ضررًا، فإنها في حالات أخرى تكون سرطانية.
وعلي عكس ما يظن البعض، فإن سرطان الجلد قد يصيب أي شخص مهما كانت لون بشرته، بما في ذلك أصحاب البشرة الداكنة، مع الاعتراف بحقيقة أن الأشخاص ذوي البشرة الفاتحة أو العيون الملونة أو شعر أحمر أو الذين لديهم شامات أكثر في جسدهم، معرضون للإصابة بسرطان الجلد بنسبة أكبر وخصوصا سرطان جلد الميلانوما.
أنواع سرطان الجلد:
هناك عدة أنواع من سرطان الجلد، ولكن أشهرها وأكثرها شيوعا هي ثلاثة أنواع.
أولا: سرطان الخلايا القاعدية:
يشار إليه اختصارا باللغة الإنجليزية (BCC)، ويتميز بأنه بطئ في نموه وتطوره، لذا فإن علاجه يكون أسهل إذا ما تم اكتشافه سريعا.
![]() |
| رسم توضيحي لحالة مصابة بسرطان جلد الخلايا القاعدية في منطقة الوجه بجوار الأذن، BruceBlaus، CC BY-SA 4.0 DEED، via wikimedia commons. |
لكن مشكلته أنه يمكن للناس أن يخلطوا بينه وبين إصابتهم بندبة أو بثور أو قرحة غير ضارة.
هذا النوع سببه الأساسي التعرض لأشعة الشمس الضارة، لذا غالبا ما يصيب الأذن والأنف وفروة الرأس والوجه (الطبقة الخارجية من الجلد).
هو أكثر أنواع سرطان الجلد شيوعا، نادرا ما يسبب الوفاة، لكن قد يكون عدوانيا وشرسا في المنطقة التي يصيبها.
ثانيا: سرطان الخلايا الحرشفية:
هذا النوع أكثر عدوانية من سرطان الخلايا القاعدية، وهو ثاني أكثر أنواع سرطان الجلد شيوعا، وقد يتطلب تدخل جراحي لعلاجه في بعض الحالات.
يحدث كذلك في المناطق المعرضة للشمس ((الوجه، الاذنين، الشفاه، اليدين)).
ثالثا: سرطان الجلد "الميلانوما":
بالإنجليزية Melanoma، هذا النوع هو أقل أنواع سرطان الجلد شيوعا.
ومع ذلك فهو أخطرهم، ويطلق عليه الأطباء "الورم الميلاني الخبيث"، لأن عدد الوفيات الناتجة سنويا بسببه، تكون أكثر من الوفيات الناتجة عن سرطان الخلايا القاعدية وسرطان الخلايا الحرشفية مجتمعان.
ربما كان ذلك هو السبب في وجود تصنيف طبي شهير يصفه بسرطان الجلد الأسود، فيما يسمي سرطان الخلايا القاعدية وسرطان الخلايا الحرشفية بسرطان الجلد الأبيض.
السبب وراء ذلك أنه أكثرهم سرعة في الإنتشار، وبالتالي تكون عملية السيطرة عليه أصعب، الحقيقة أصلا أن كل من سرطان الخلايا القاعدية وسرطان الخلايا الحرشفية من النادر أن يشكلا نقائل تنقلهما إلى مناطق أخرى من جسم المصاب.
تقول عنه الدكتورة إيلين كونغ، طبيبة الأمراض الجلدية المعتمدة في نيويورك بالولايات المتحدة: "إن سرطان الجلد الميلانوما.. هو سرطان الجلد القاتل، لأن هذا النوع سريع الانتشار".
المشكلة أيضا في سرطان الجلد الميلانوما أن انتشاره لا يقتصر على خلايا الجلد فقط، بل يمكن أن ينتشر إلى أجزاء أخرى من الجسم والأعضاء الداخلية، مثل الرئتين أو الدماغ.
لكن ولنعطيكم بعض الإطمئنان.. نستمع إلى الدكتور جيفري هسو، طبيب الأمراض الجلدية المعتمد في إلينوي بالولايات المتحدة الذي يقول: "في الواقع، الورم الميلانيني هو جزء صغير جدًا جدًا من سرطانات الجلد، غالبية سرطانات الجلد هي سرطان الخلايا القاعدية أو سرطان الخلايا الحرشفية".
ما يقوله هذا الطبيب المشهور في مجاله بالولايات المتحدة، يتماشى مع أرقام (جمعية السرطان الأمريكية)، التي تذهب إلي أن سرطان الخلايا القاعدية يمثل نحو 80% من الإصابات، وسرطان الخلايا الحرشفية يمثل حوالي 20%، من تشخيصات سرطان الجلد، في حين يمثل سرطان الجلد أقل من 1٪ من جميع تشخيصات سرطان الجلد.
أما عن أسمه (سرطان الجلد الميلانيني) فهو نسبة إلي المكان الذي يحدث فيه، وبالتحديد الخلايا الصباغية، وهي الخلايا المسؤولة عن انتاج الميلانين، وهي صبغة بنية تعطي بشرتك لونها وتحمي من بعض الأشعة فوق البنفسجية الضارة الناتجة عن الشمس.
أسباب سرطان الجلد:
يمكن أن نحصر أسباب الإصابة بسرطان الجلد في:
- غالبا ما يتطور سرطان الجلد على الجلد المعرض لأشعة الشمس لفترات طويلة، حيث تؤثر عليه أشعتها فوق البنفسجية، لذا فإن جلسات ما يعرف باسم (التان) هي واحدة من الممارسات الكارثية التي قد تزيد من خطر الإصابة، لكن من المهم أن نفهم جيدا أن حتى بعض مناطق الجلد التي لا تتعرض عادةً لأشعة الشمس يمكن أن تصاب أيضا، مثل مناطق الأعضاء التناسلية أو الأرداف.
- العمر: والعمر لا يسمي سبب إذا ما أردنا الحديث بدقة، لكن يسمي (عامل خطورة) فكلما زاد عمرك، زادت احتمالية إصابتك بسرطان الجلد غير الميلانيني، لكن مع التأكيد على أن سرطانات الجلد يمكن أن تتطور لدى الشباب أيضًا.
- التاريخ العائلي: بعض الأبحاث أشارت إلي وجود نوع من العلاقة بين إصابة أحد والديك بسرطان الخلايا الحرشفية (SCC) وارتفاع نسبة إحتمالية إصابتك به.
- إذا كان من السهل أن يتعرض جلدك لحروق الشمس فهذا أيضا يعتبر من عوامل الخطورة.
أعراض سرطان الجلد "ما هي البقع التي تدل على وجود سرطان؟":
![]() |
| مريض مصاب بسرطان الجلد من نوع الخلايا القاعدية في منطقة الأنف، James Heilman, MD، CC BY-SA 3.0 DEED، via wikimedia commons. |
لا يوجد لسرطان الجلد صورة أو شكل واحد، بل يمكن أن تبدو الأعراض مختلفة تماما عن بعضها، كما أن بعض أعراضه متشابهة مع أمراض أخرى.
ولكن سينبغي عليكم التوجه إلي الطبيب فورا إذا ما ظهرت عليكم واحدة أو أكثر من الأعراض التالية:
- وجود قرحة لا تلتئم (خصوصا إذا مر عليها 4 أسابيع).
- وجود جرح يشفي ويلتئم ثم يعود لينفتح مجددا دون سبب.
- أيضا نفس المدة (4 أسابيع) إذا استمرت قشور على الجلد خلالها، فهي علامة غير مطمئنة على الإطلاق.
- نمو نتؤات على جلدك بشكل غير طبيعي.
- ظهور بقع جديدة غير مبررة على الجلد، وخصوصا إذا كانت هذه البقع تبدو غير منتظمة أو غير متشابهة أو أن البقعة نفسها لا تبدو كشيء واحد.
- تحول بقعة من الجلد إلي اللون الوردي أو المحمر، مع انخفاض بسيط في الجلد وسط هذه البقعة.
- وجود تغيرات في حجم أو شكل أو لون نمو الجلد.
- ظهور شامة (وحمة) وهي نوع من الزيادات الجلدية التي يمكن أن تزال بسهولة ودون خطر في مراحلها الأولى قبل أن تتحول إلي أشياء خبيثة، ويزيد القلق بشأن هذه الشامة إذا كانت مكونة من جزئين يبدوان مختلفين، أو كان شكلها يختلف بمرور الوقت.
- ظهور كتلة جديدة على الجلد.
- ظهور بقع حمراء على البشرة، وقد تكون أحيانا مثيرة للحكة، وبالرغم من أنها قد تكون علامة على مرض جلدي آخر، إلا أنه من المهم فحصها.
- تصلب منطقة في الجلد.
- من المهم أيضا أن ننتبه إلي الحجم، إذا كانت الشمعة أو البقعة أكبر من حبة البازلاء، فهذا مؤشر خطر.
ومن المهم هنا الإشارة إلي أنه لو شككتم في أي شيء من هذه العلامات، ثم ذهبتم إلي الطبيب، فكانت الحالة مرض جلدي عادي، فهذا خير بكثير من الاستهانة بالأمر وترك الحالة تصبح أكثر خطورة.
أيضا من المهم الإشارة إلي أهمية أن يقوم أي شخص بفحص نفسه ذاتيا كل بضعة شهور، حيث يمكن أن يساعد فحص بشرتك بحثًا عن أي تغييرات مشبوهة في اكتشاف سرطان الجلد في مراحله المبكرة، وهذا يمنحه فرصة أكبر للعلاج والشفاء.
هل سرطان الجلد مؤلم؟:
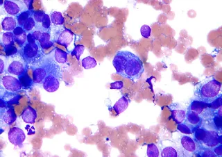
![]() |
| صورة مجهرية للورم الميلانيني الخبيث، أسوء أنواع سرطان الجلد، Nephron، CC BY-SA 3.0 DEED، via wikimedia commons. |
من خبث سرطان الجلد أنه مرض نادرًا ما يسبب الشعور بالألم.
في الغالبية العظمى من الحالات، يري المريض سرطان الجلد بملاحظة التغيرات على جلده، ولكنه لا يشعر بألم في هذه المنطقة.
لكن هذا لا ينفي أن بعض حالات سرطان الجلد يشعر فيها المريض بألم أو شعور بالرغبة في حك المنطقة المصابة، أو حتى الإصابة بنزيف.
سيزيد الشعور بالألم مع تقدم الوقت وتطور الحالة أو تركها بدون علاج.
ما هي المناطق التي يفحصها الشخص للبحث عن سرطان الجلد؟:
هذا سؤال جيد، أين أفحص في جسدي للتأكد من كوني غير مصاب بسرطان الجلد.
هذه هي الأماكن التي لا ينبغي عليك ترك البحث فيها:
- الوجه بما في ذلك الشفتين، وفروة الرأس.
- العنق والكتفين.
- ذراعيك من الأمام والخلف (بما في ذلك الإبطين).
- يديك من الأمام والخلف وبين أصابعك، وتحت الأظافر، وهذه المنطقة تفحص جيدا من ذوي البشرة الداكنة.
- الساقين وخصوصا عند النساء.
- قدميك (تفحص جيدا من ذوي البشرة الداكنة).
- بين أصابع قدميك، وباطن القدمين.
- المناطق التناسلية (نادرة الإصابة).
ومن الممكن الاستعانة بزوجك / زوجتك .. أحد والديك إذا لم تتمكن من فحص منطقة جيدا مثل عنقك من الخلف.
هل سرطان الجلد قاتل؟:
![]() |
| أطباء برازيليين في مستشفى آسا نورتي الإقليمي يقومون بعملية جراحة موس لإزالة سرطان الجلد، تصوير: توني وينستون/وكالة برازيليا، Agência Brasília، CC BY 2.0 DEED، via Flickr. |
إلي حد بعيد، يعد سرطان الجلد هو النوع الأكثر شيوعا من أنواع مرض السرطان المختلفة، وقد يليه (سرطان الثدي).
لكن معظم حالات سرطان الجلد يمكن علاجها خصوصا إذا تم إكتشافها مبكرًا.
وهناك العديد من الوسائل لعلاج سرطان الجلد، نذكر منها:
- جراحة موس، نسبة إلى دكتور فريدريك موس الذي طورها، ويقوم بها أطباء مدربين عليها، يقومون بإزالة خلايا الجلد المصابة بالسرطان (خصوصا القاعدي والحرشفي) على مراحل، وبعد كل مرحلة تفحص الخلايا لبيان هل تبقت بعضها مصابة ام لا .. وفي النهاية يتم إغلاق الجرح بعد التأكد من إزالتها بشكل كامل، وتتميز بأن نسبة نجاحها أعلى من الجراحة العادية، ونتائجها أفضل من ناحية شكل الجلد.
- العلاج بالتبريد: فكرة هذا العلاج هو تعريض المناطق المصابة من الجلد لدرجات حرارة شديدة الانخفاض لا تستطيع خلايا السرطان العيش فيها، ما يعرضها للموت والتدمير.
- العلاج الكيميائي.
- العلاج الإشعاعي.
وفي النهاية، نعم قد يؤدي سرطان الجلد إلي الوفاة -لا قدر الله - ، ولكننا دوما مأمورين بالسعي والبحث عن الدواء، أدام المولى عز وجل عليكم نعمة الصحة والعافية، وخفف من آلام مرضاكم، وليعلم الجميع أن لكل أجل كتاب، فمن جاءت ساعته لن يستقدم ولن يتأخر عنها لحظة.
بل قد يكون هذا المرض (سرطان الجلد) إذا وصل إلي مراحل متأخرة باتت تنذر بالوفاة، بشرى خير بأن الله تعالى قد أراد أن يعيد إليه عبده بدون ذنوب وخطايا فيغفرها له بآلام المرض، ويعطيه فرصة ليسامحه من ظلمه أو يرد الحقوق لأصحابها. فالحمد لله في كل وقت وحين.
وليتذكر الجميع كم من شخص صحيح مات بدون سبب أو علة يشتكي منها، وكم من مريض عاش سنوات .. فهذه أعمار بيد الله.. وإذا جاء أجل أحد من الناس فإنه لا يستأخر ساعة ولا يستقدمها.
رفعت الأقلام وجفت الصحف.



.jpeg)

